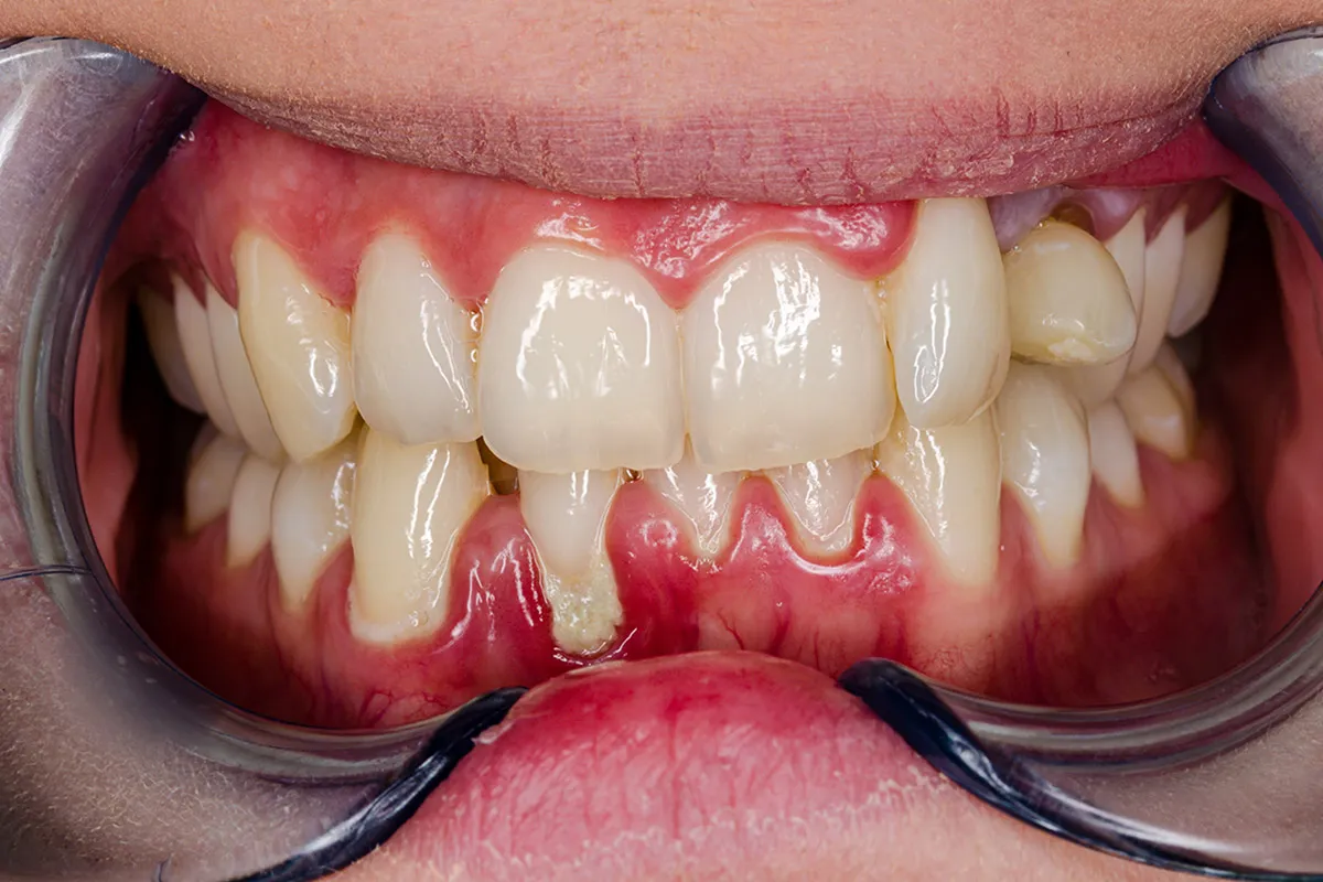
À propos de traitement gingival
La santé des gencives est essentielle à celle des dents.
Nos soins gingivaux visent à prévenir et traiter l’inflammation, tout en vous aidant à mieux comprendre les gestes simples du quotidien pour maintenir des gencives fortes et saines.
Chaque traitement est accompagné d’explications claires et de conseils personnalisés.

